치매는 65세 이상의 노인들 10명 중 한명이 걸리는 흔한 병입니다.
치매는 후천적으로 기억, 언어, 판단력 등의 여러 영역의 인지기능이 떨어져서 일상생활을 제대로 수행하지 못하는 임상 증후군입니다. 지금까지 치매를 유발하는 것으로 알려진 질환은 약 70가지에 이르지만, 알쯔하이머병이나 뇌혈관 질환이 전체 치매 원인 질환의 90%를 차지합니다. 2005년 발표된 세계 치매 유병률에 대한 연구에 의하면, 매해 세계적으로 460만 명의 새로운 치매 환자가 발생하며, 2008년 지구상에는 현재 약 3,810만 명의 치매 환자가 있을 것으로 추정됩니다. 국내의 65세 이상 치매 유병률은 6.3-13.0%로 추정되는데, 이는 거의 65세 이상의 노인들 10명 중 한명에 해당 될 정도로 매우 흔한 병입니다.

65세 이상 한국 노인의 치매 유병률 및 치매 환자수 추이 (출처: 2012년 전국치매역학조사)
건망증도 병인가요?
나이가 들면서 누구나 건망증은 생길 수 있습니다. 그러나 지속적이고 진행되는 건망증은 전문가에게 꼭 진찰을 받아봐야 합니다. 치매는 아니지만 주관적인 기억력 감퇴가 있고, 객관적인 신경심리 검사에서 저하가 관찰되는 경도인지장애라고 하는데, 65세 이상 노인의 약 15-30%에 이를 정도로 노년에 매우 흔합니다. 그러나 이런 경도인지장애는 1년에 10∼15% 정도가 치매로 진행하는 것으로 알려져 있습니다. 정상노인의 경우 1년에 약 1∼2%에서 치매로 발병하는 경우와 많은 차이가 있습니다. 그러므로 경도인지장애가 있는 경우에는 1-2년 간격으로 주기적으로 전문적인 인지기능 및 전문의 진단 평가를 실시하는 것이 좋습니다.
| 정상노인의 건망증 | 치매노인의 기억장애 |
|---|---|
| 뇌의 자연적인 노화현상이 원인이다. | 뇌의 질병이나 손상이 원인이다. |
| 경험한 것의 일부를 잊어버린다. | 경험한 것의 전체를 잊어버린다. |
| 잊어버리는 것이 많아져도 진행되지 않는다. | 기억장애가 점차 심해지며 판단력도 저하된다. |
| 잊어버린 사실을 스스로 안다. | 잊어버린 사실 자체를 모른다. |
| 일상생활에 지장이 없다. | 일상생활에 지장을 받는다. |
치매/건망증 클리닉에서는
- 건망증(기억력 감퇴)를 비롯한 인지기능감퇴가 치매의 초기 증상인지를 진단하고 치매의 원인 질환을 감별 진단합니다. 전문의가 철저한 병력청취와 이학적 검사, 신경학적 검사 및 정신 상태검사, 신경심리학적 검사(신경인지기능 검사), 혈액 및 뇨검사와 심전도검사, 뇌 단층촬영(CT)과 뇌 자기공명촬영(MRI) 등을 포괄적으로 시행하고 그 결과를 종합 분석함으로써 치매를 진단합니다. 특히 본 클리닉에서 사용하는 CERAD-K와 같이 표준화된 진단도구를 이용하여 전문의가 진단할 경우, 전문의가 단순 문진을 통해 진단하는 경우에 비해 진단 정확도를 85%-95%까지 더욱 높일 수 있습니다. 조기 진단, 조기 치료는 치매 치료 효과를 극대화시킬 수 있습니다.
- 치매로 인한 인지감퇴와 정신행동 증상의 종류 및 심각도를 평가하고 치료합니다.
치매 인지기능에 대한 약물치료, 비약물치료 (인지재활치료, 작업요법) 뿐 만 아니라 치매에 동반된 여러 가지 행동증상, 우울증을 전문적으로 치료합니다. - 치매 고위험군에 대한 예방관리 합니다.
부모나 형제 중 한사람이 알쯔하이머 치매일 경우 자신이 알쯔하이머 치매에 걸릴 확률은 15-19% 정도로 일반 인구에 비해 높습니다. 최상의 치료는 예방입니다. 치매도 예외는 아닙니다. 치매의 발병 위험성을 높일 수 있는 인자들을 미리 조절함으로써 치매에 걸릴 확률을 줄일 수 있습니다. - 치매의 원인 질환과 증상의 종류 및 심각도에 따라 맞춤형 치료 프로그램을 제공합니다.
- 치매와 치매 환자를 돌보는 법에 대한 가족 교육 프로그램을 제공합니다.
치매/건망증 클리닉에서 어떤 검사를 합니까?
-
- CERAD-K 치매진단평가
12개 언어로 번역되어 세계 40여개국 치매전문센터에서 사용하고 있는 세계적인 치매진단검사로서, 한국노인을 대상으로 한 7년여 간의 임상 경험과 연구를 바탕으로 한국 노인에게 가장 알맞게 표준화한 한국형 치매진단검사입니다. 뇌조직 검사를 통해 확인된 치매 진단과의 일치율이 매우 높은 정확한 치매진단검사입니다.
- CERAD-K 임상평가
정신과 전문의가 직접 시행을 합니다. 자세한 병력 조사, 정신상태 검사, 신체 및 신경학적 검사 등 치매 진단을 위한 포괄적인 평가를 시행하여, 인지기능 감퇴의 정도가 치매로 인한 것인지(치매 여부)와 치매의 원인이 무엇인지(원인 질환)를 진단합니다. 검사 소요시간은 40-50분입니다.
- CERAD-K 신경심리평가
CERAD 신경심리평가는 범주형 언어유창성 검사, 단축형 보스톤 명명검사, 간이정신상태검사, 단어 목록 기억 검사, 시공간 구성 검사, 단어 목록 회상 검사, 단어 목록 재인 검사, 시공간 구성 회상 검사, 길만들기 검사 등 9개의 소검사로 구성되어 있는 포괄적 신경심리검사 도구입니다. 검사 소요 시간은 40-50분입니다.

- CERAD-K 치매진단평가
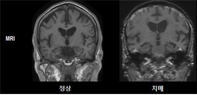
- 뇌 핵자기공명영상검사 (MRI)
뇌 MRI 검사는 치매와 노화성인지감퇴증의 원인이 되는 뇌 이상 소견을 사진으로 찍어 확인할 수 있는 진단검사로, 환자와 가족이 직접 환자의 뇌 상태를 확인할 수 있습니다. 뇌 MRI 검사는 부작용이 없고 통증도 없어 간단한 사전 설명만 들으면 노인들도 쉽게 받을 수 있는 안전한 검사입니다.

- 뇌 양전자방출단층촬영 (PET)
뇌 PET 검사는 뇌세포의 대사량을 측정하여 사진으로 표현함으로써 MRI로는 관찰할 수 없는 뇌세포의 기능적 이상을 확인할 수 있습니다. 뇌 MRI 검사로는 발견할 수 없는 치매의 최초기 병변을 찾아주는 검사입니다.

- 유전자 검사
유전성 치매의 원인 유전자를 밝혀내는 검사입니다. 아포지단백 E(APOE) 유전자형을 비롯한 알쯔하이머병의 발병 위험성을 높이는 위험 유전자에 대한 검사를 할 수 있습니다.
치매는 어떻게 치료하나요?
- 치매는 불치병 아닌가요?
그렇지 않습니다. 치매의 종류 중 10~15% 정도에서 완치가 가능한 것으로 알려져 있습니다. 치매를 일으키는 대사질환이나 영양결핍, 감염성 질환, 수두증 등의 기질적인 원인을 제거하거나 치료하면 완치가 될 수 있습니다. 또한 치매의 원인 중 20~30% 정도를 차지하는 혈관성 치매는 고혈압이나 당뇨, 심장 질환 등 혈관성 위험 인자의 관리와 적절한 치료제의 사용으로 악화를 방지할 수 있습니다. 치매의 대부분의 원인을 차지하는 알츠하이머 병도 조기에 발견하여 치료하면 인지기능의 저하를 더 늦출 수 있는 것으로 알려져 있습니다. 따라서 치매의 조기 발견과 치료가 중요하며, 이미 치매가 진행되신 분이라 할지라도 적절한 평가과 치료를 통해 상당히 호전될 수 있습니다.
- 치매 치료는 기억력 저하와 같은 인지 장애만 치료를 하는 것인가요?
그렇지 않습니다. 치매는 인지 장애와 함께 여러 가지 증상을 동반합니다. 어떤 환자들은 공격적 행동을 보이거나, 의심을 하는 편집적 행동, 초조해하며 안절부절못해 하는 등의 정신행동 증상을 보이거나, 무기력해하고 우울해 하는 등의 정동 장애를 동반할 수 있습니다. 이러한 정신행동증상이나 정동장애는 치매의 경과를 악화시키거나 보호자의 부담을 가중시키는 주요 원인이 됩니다. 따라서 치매의 치료에는 인지 기능의 저하뿐 아니라 이러한 정신행동증상과 정동장애에 대한 평가과 치료가 반드시 필요합니다.
- 치매는 어떻게 치료를 합니까?
알쯔하이머 병의 치료 약물에는 인지 기능 저하에 사용되는 아세틸콜린 분해효소 억제제(Acetylcholinesterase inhibitor)와 글루타메이트에 의한 세포 독성을 막아주는 NMDA 수용체 길항제가 있습니다. 아세틸콜린 분해효소 억제제로는 Tacrine(CognexTM), donepezil (AriceptTM), rivastigmine(ExelonTM), galantamine(ReminylTM)등이 FDA에서 공인되어 사용되고 있고, 중등도 이상으로 진행된 알쯔하이머병에 대해서는 NMDA 길항체로는 memantine (EbixaTM)과 같은 약물이 사용되고 있습니다. 현재 개발되어 시판되고 있는 치매 치료제는 엄격히 이야기하면 ‘인지기능이 저하되는 속도를 늦추는 치료제’입니다. 알츠하이머 병의 치료제로 사용되고 있는 약물들의 전체적인 효과를 종합하면 치매로 인한 심각한 장애에 이르는 기간을 늦추어주는 역할을 합니다.
이러한 약물은 초기에 오심, 구토, 설사와 같은 위장관계 부작용들을 보일 수 있지만 대체로 안전하게 사용될 수 있습니다. 비약물적 치료로 손상된 인지기능을 보전하거나 회복시키기 위한 인지적 개입과 정신적 행동증상들을 해결하기 위한 행동적 개입이 있는데, 인지증상이나 행동증상을 경감시키는데 도움이 된다. 인지적 개입으로 시간차 회상훈련(spaced retrieval)등의 기억재활, 현실감각훈련, 회상요법 등이 사용됩니다.
혈관성 치매의 치료는 고혈압, 당뇨, 고지혈증, 비만, 흡연 등 혈관성 위험요인에 대한 치료가 매우 중요합니다. 혈관성 치매에서 가장 중요한 치료는 아스피린 등 혈소판응집 억제제나 와파린 등의 항응고제, 혈류순환개선제등을 투여하여 뇌혈관 질환의 재발이나 악화를 방지하는 것입니다. 혈관성 치매는 이러한 약물치료와 위험요인의 관리를 통해 더 이사의 진행을 예방하는 것이 가능합니다. 또한 알쯔하이머병에서와 같이 아세틸콜린 분해효소 억제제나 NMDA 수용체 길항제를 사용하여 인지기능개선 효과를 기대할 수 있습니다.
치매는 인지 기능의 장애 외에도 의심행동, 공격적 성향, 불안 및 우울과 같은 행동 및 정동 장애가 흔하게 동반됩니다. 실제적으로 인지 기능의 저하보다는 난폭한 행동이나 초조, 수면장애, 배회와 같은 행동들이 치매 환자들 돌볼 때 보호자들을 더 힘들게 만드는 요인이 됩니다. 따라서 정신과 전문의의 평가 상 이러한 정신행동증상이나 정동 장애가 치료가 필요하다면 항우울제나 항불안제, 항정신병약물과 같은 치료제를 병행할 수 있으며, 이러한 치료를 통해 많은 호전을 볼 수 있습니다.
- 치매 치료는 어느 정도 효과가 있는 것인가요?
알쯔하이머 병 환자는 자연 경과상 사망 전 마지막 3-5 년은 심각한 장애상태가 유지가 되는데, 약물 치료와 비 약물적 치료를 통해서 이런 심각한 장애가 지속되는 기간을 1년 이내로 줄일 수 있습니다. 이는 치매를 돌보는 보호자의 심리적, 경제적 부담을 상당히 덜어 줄 수 있을 뿐 아니라, 국가적으로도 치매환자를 위한 의료비, 조호비 등의 경제적인 부담을 크게 줄일 수 있습니다. 현재 치매의 진행을 완전히 차단해 줄 수 있는 약은 개발되지 않았으나 알츠하이머 병의 원인이 되는 병적 단백질의 형성을 차단하거나 뇌에 침착되는 것을 막아주어 병의 진행을 근본적으로 차단하는 약물들이 개발되고 있고 멀지 않은 장래에 임상적으로 사용될 것으로 기대되고 있습니다.

Am J Psychiatry 164:6, June 2
알쯔하이머 병 치료효과
